PROCEDURAL
IMAGES
Barrigel留置画像
MRIおよびCTでのBarrigelの留置画像および経直腸超音波(TRUS)でのBarrigelの手技画像をご覧いただけます。
TRUS 画像
TRUS 画像

TRUS画像提供:Neil F. Mariados, MD
Radiation Oncologist; New York, United States

TRUS画像提供:Rizwan Nurani, MD
Radiation Oncologist; California, United States

TRUS画像提供:Prof Michael Chao, MBBS (Hons), FRANZCR, AFRACMA, DMedSc, Radiation Oncologist; Victoria, Australia

TRUS画像提供:Neil F. Mariados, MD
Radiation Oncologist; New York, United States
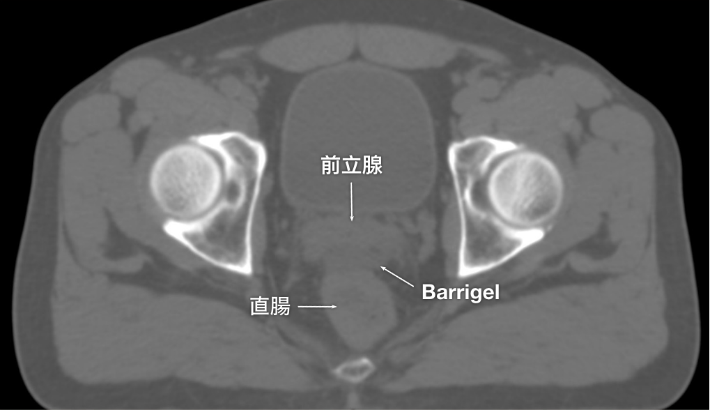
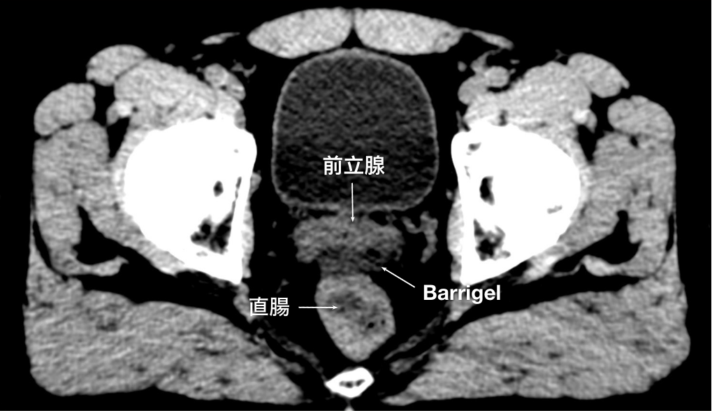
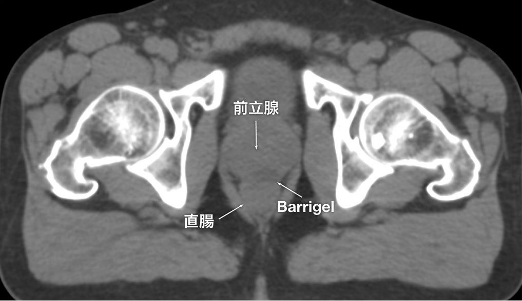
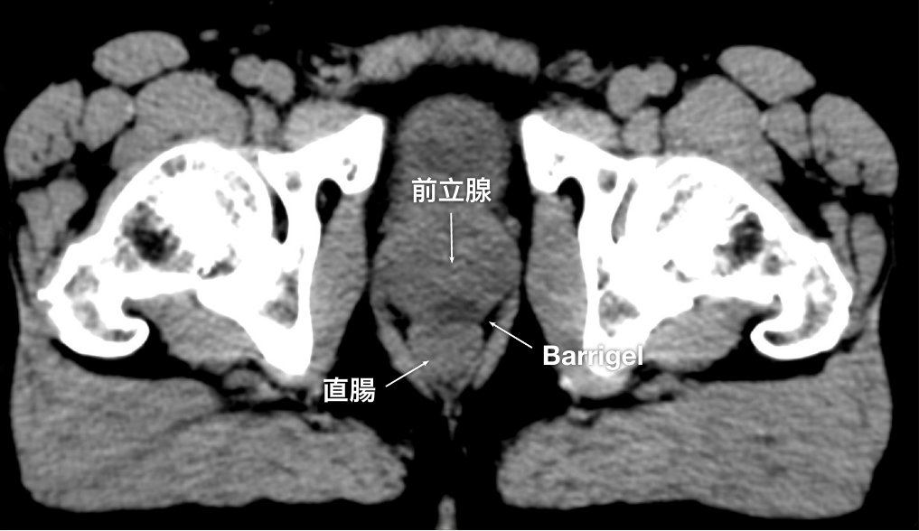
CT画像
CT画像

CT画像提供:Glen Gejerman, MD
Radiation Oncologist; New Jersey, United States

CT画像提供:Escalarta López Ramírez, MD
Radiation Oncologist; Madrid, Spain

CT画像提供:Gregory Bell, MD
Interventional Radiologist; Texas, United States

CT画像提供:Suraj Singh, MD
Radiation Oncologist, Colorado, United States

CT画像提供:Suraj Singh, MD
Radiation Oncologist, Colorado, United States

CT画像提供:Suraj Singh, MD
Radiation Oncologist, Colorado, United States
CTで最適な画像を得るために
CTで最適な画像を得る
ために




ウインドウ設定とレベル設定の調整によるコントラストおよびテクスチャの強調の前(左)と後(右)の画像
CT画像はBarrigel Pivotal試験からより引用
MR 画像
MR 画像

MR画像提供:Prof Michael Chao, MBBS (Hons), FRANZCR, AFRACMA, DMedSc, Radiation Oncologist; Victoria, Australia

MR画像提供:Prof Michael Chao, MBBS (Hons), FRANZCR, AFRACMA, DMedSc, Radiation Oncologist; Victoria, Australia

MR画像提供:Prof Michael Chao, MBBS (Hons), FRANZCR, AFRACMA, DMedSc, Radiation Oncologist; Victoria, Australia